On a quest to crack the kidney disease conundrum
Renal disease in cats and dogs has baffled the animal health community for decades. Our innovators are working to solve the mystery and help pets live longer, healthier lives.
This audio recording was enabled by AI

Tracey Williams will never forget the 30-hour round trip she made by car and ferry to adopt three kittens from Northern Ireland. After the long trip, George, Harry and Leia settled into their England home and, later, moved again with Tracey to the U.S.
“Today, I have nine cats. George was the last remaining cat from that family of three, and he died from chronic kidney disease in May 2024,” said Tracey, a biomarker researcher within Zoetis’ R&D organization. “I have a lifetime of loving cats. I’ve lost three of them to kidney disease. It’s devastating. And it makes me passionately and personally invested in the work I do to improve pets’ lives.”
Tracey is among the innovators at Zoetis who are on a quest to understand the complexities of kidney disease in cats and dogs and pave the way for future treatments that could target renal disease – an option that doesn’t exist today.

A high prevalence of disease
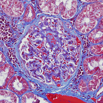
A variety of kidney-related diseases affect pets, but one of the most common and confounding problems is chronic kidney disease (CKD).1 For example, by age 13, 80% of cats will have kidney disease.2,3 Meanwhile, CKD affects up to 10% of all elderly dogs.4
The disease can be present in the animal at birth, or it can develop from other issues like acute kidney injury (AKI) or from ingesting something toxic. CKD is complex, progresses slowly, and symptoms do not appear until later in the disease when the kidneys are already damaged.5

“CKD is characterized by gradual scarring of the kidney cells that filter out toxins from the bloodstream,” said Nadia Koziar, who investigates unmet health care needs in pets so Zoetis scientists can fill those gaps with new therapies. “As the tissue becomes more scarred, toxins build up in the pet’s body and that creates havoc – anorexia, brittle bones, gastrointestinal issues, lung, heart and other major problems.”
Because there is no therapy to specifically target CKD, veterinarians can only offer palliative care, such as implementing diet restrictions and treating symptoms like vomiting and dehydration to keep the animal as comfortable as possible.
“It’s frustrating for veterinarians and pet owners,” said Alexandre Merlo, a veterinarian who is Zoetis’ Medical Lead for Biologicals and Internal Medicine for the Global Commercial Development teams. “Having to euthanize an animal is the worst thing. Veterinarians are here to heal and cure, and we have a relationship with the pet and the pet parent. It’s devastating to tell a pet owner, ‘There’s nothing else we can do.’”
In humans with CKD, dialysis is used to clean or filter the bloodstream. While pets can get dialysis, it’s costly, takes several hours for each session and is not a service that’s readily available. Kidney transplants for cats have been around for more than 25 years. But they are rare, expensive – up to $25,000 – and not all pets are candidates for the procedure.6
“We’ve seen decades of renal disease. This is clearly an unmet medical need,” said Alexandre. “Innovative treatments could revolutionize this area of care for veterinarians.”

That’s where Tracey Williams comes in. She and her team are researching biomarkers that could reveal the presence of renal disease in the early stages and before damage occurs. These insights could help scientists develop new therapies and inform clinical trial design.
“It’s not an easy journey, but our aim is to predict, detect, prevent and treat disease,” said Tracey. “We’re willing to invest in R&D and take risks on complex projects because we are passionate about animals and their health.”
A science-driven approach focused on customer needs
Kevin Esch is a veterinarian who leads Global Therapeutics within Zoetis’ R&D organization. “Our research is centered on medical and customer needs. We’re looking at how we can bring forward a suite of tools for veterinarians to improve kidney function over time, control the course of kidney disease and improve pet and pet owner quality of life.”
To address a complex disease like CKD, Zoetis has a breadth of scientific capabilities, including genomics, transcriptomics and proteomics labs, along with “strong investigative biology, biomarker research, diagnostics, extensive experience in pre-clinical and clinical research, and robust internal and external partnerships,” said Kevin. “These capabilities help us understand disease conditions holistically and position us to deliver innovation to the market with quality, safety and efficacy.”
Delivering innovation is a guiding light at Zoetis. “We have a purpose – to nurture the world and humankind by advancing the care of animals,” said Alexandre Merlo. “The reason we come to work every day is to provide customers with the best options and solutions. We are here to improve lives and make the world a better place.”
Updated on June 16, 2025
All trademarks are the property of Zoetis Services LLC or a related company or a licensor unless otherwise noted. © 2025 Zoetis Services LLC. All rights reserved. NA-04276
References
1 Kidney Disease and Cats - Everything you need to know (youtube.com)
2 Prevalence and classification of chronic kidney disease in cats randomly selected from four age groups and in cats recruited for degenerative joint disease studies - PubMed (nih.gov)
3 Chronic Kidney Disease (CKD) in Dogs and Cats - The Animal Medical Center (amcny.org)
4 IBID
5 Chronic Kidney Disease in Aged Cats: Clinical Features, Morphology, and Proposed Pathogeneses - PubMed (nih.gov)
6 Cat kidney transplants are pricey, but these owners say it’s worth it - The Washington Post
7 Esch KJ, Schaut RG, Lamb IM, Clay G, Morais Lima ÁL, do Nascimento PR, Whitley EM, Jeronimo SM, Sutterwala FS, Haynes JS, Petersen CA. Activation of autophagy and nucleotide-binding domain leucine-rich repeat-containing-like receptor family, pyrin domain-containing 3 (NLRP3) inflammasome during Leishmania infantum-associated glomerulonephritis. Am J Pathol. 2015 Aug;185(8):2105-17. doi: 10.1016/j.ajpath.2015.04.017. Epub 2015 Jun 13. PMID: 26079813; PMCID: PMC4530124.